Cómo corregir el apiñamiento dental en niños: opciones de tratamientos
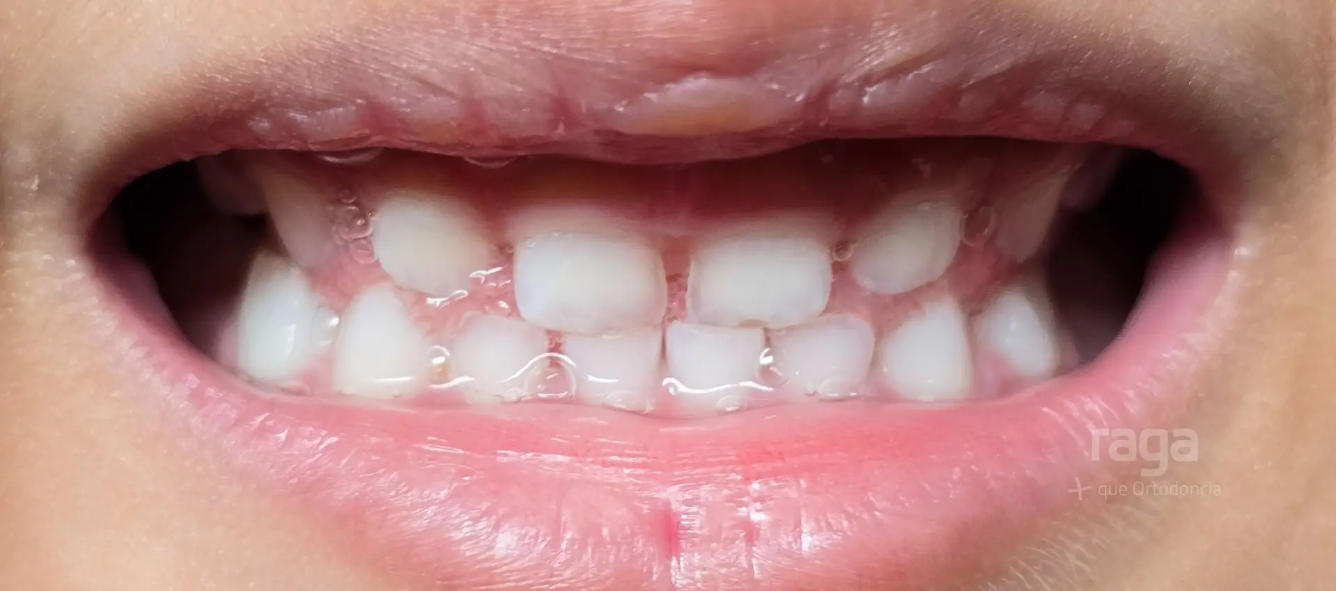
Cuando un niño empieza a cambiar los dientes de leche por los definitivos, es habitual que los padres se fijen en si “salen rectos” o “salen
EXCELENTE A base de 567 reseñas Publicado en Santi Gómez PérezTrustindex verifica que la fuente original de la reseña sea Google. Muy nnPublicado en Alicia ArjonaTrustindex verifica que la fuente original de la reseña sea Google. Ir a la clínica Raga siempre es un placer. Grandes profesionales y grandes personas que hacen que la experiencia sea de 10. Muchas gracias por todo!Publicado en Francisco LopezTrustindex verifica que la fuente original de la reseña sea Google. Llevo tiempo ya con tratamiento de un aparato para los dientes a la vez que me pusieron antes implante. El trato exquisito y el personal es super atento y agradable y siempre explicándote cada paso. Ultima tecnología y además para los niños todo tipo de entretenimiento. En fin 100x 100 recomendable. La persona que me ha llevado Rocío es un amor. Y las compañeras también muy agradables. El siguiente mi hijoPublicado en cristina cortes vidalTrustindex verifica que la fuente original de la reseña sea Google. Un excelente trabajo tanto en endodoncia como en blanqueamiento. Un gustazo que Ana me haya llevado el seguimiento consiguiendo un blanqueamiento dental natural y duradero. Sin duda recomendaría esta clínica a todo el mundoPublicado en Lucía ArevaloTrustindex verifica que la fuente original de la reseña sea Google. Encantada con esta clínica, es mi clínica de confianza!Publicado en Sheila Cifuentes guerreroTrustindex verifica que la fuente original de la reseña sea Google. Una clínica espectacular, el trato de todo el personal maravilloso y ultra profesional me encanta la experiencia con ellos, mis peques no tienen miedo al dentista y a mí me han hecho perderlo, graciasPublicado en Alfredo CastilloTrustindex verifica que la fuente original de la reseña sea Google. Buen servicio, trato agradable y grandes profesionales.Publicado en Mairena MontejanoTrustindex verifica que la fuente original de la reseña sea Google. Estamos de acuerdo en que nunca es agradable visitar a un dentista, pero en esta clínica todo lo hacen fácil, desde las recepcionistas hasta lo ortodoncistas, todos de 10Publicado en Felisa González AlarcónTrustindex verifica que la fuente original de la reseña sea Google. Mi experiencia en esta clínica es de las mejores, desde la atención en recepción hasta los profesionales que me atendieron; muy cercanos, y amables, explicándome todo lo que iban a hacer . Sin duda un referente en Albacete donde sin duda volveré.









Servicio de Urgencias
Para urgencias llamar al 600077050.